精品阅读 科技

丁丁长在头上的鬼鲨:交配对于雌性来说简直是虐待

丁丁长在头上的鬼鲨:交配对于雌性来说简直是虐待

新浪科技

关注

来源:新浪科技

鬼鲨被认为是非常奇怪的海洋生物,它们长着凹陷呆滞的眼睛,翼状鱼鳍,以及鞭状长尾,除了外形独特之外,它们的性特征也同样不可思议。

雄性鬼鲨前额的钩状性器官便于它们交配时与雌性鱼鳍固定在一起,同时,它们在盆骨周围还长有一组鳍足。令科学家惊奇的是,鬼鲨交配过程对于雌性并不是什么非常愉悦的体验。

鲨鱼破水瞬间:血口獠牙

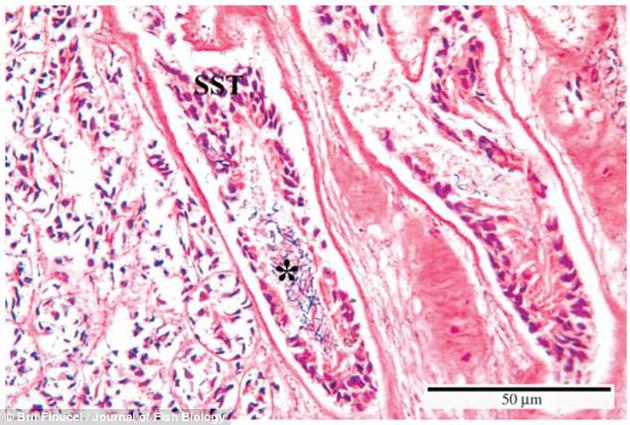
研究人员分析了数百个鬼鲨标本,发现雌性鬼鲨具有存储精力的能力,它们长着一组小型管状结构,便于长期存储精子,科学家猜测该结构可能存储精子长达数年。这种现象是事实存在的,这可能是首次证实鬼鲨家族中具有雌性存储精子的能力。

鬼鲨面目狰狞 深海幽灵猎手

这种习性听起来非常怪异,但是对于深海“孤独环境”,这可能是繁衍后代的重要方法。精子存储对于深海鱼类非常有利,在一个食物资源受限或者很少遇到异性交配对象的环境中,能够选择最佳时间进行受精,将很大程度地增大繁殖效率。很可能其它一些鬼鲨物种也具有存储精子的能力,下一步需要对这些雌性鬼鲨进行取样,验证该假设的可能性。

加载中...